Screen width of at least 320px is required. Screen width can be adjusted by widening your browser window or adjusting your mobile device settings. If you are on a mobile device, you can also try orienting to landscape.

25 April 2024

La France est le pays d’Europe qui compte le plus de centenaires

18 April 2024

9 % des champignons sont menacés de disparition en France

18 April 2024

La flamme olympique est en route pour Paris

11 April 2024

Le pôle « cold cases » du tribunal de Nanterre lance un nouveau dispositif d'appel à témoins

11 April 2024

La France et l’Angleterre célèbrent les 120 ans de l’Entente cordiale

4 April 2024

Coup d’envoi de la rénovation du marché aux fleurs parisien de l’île de la Cité

4 April 2024

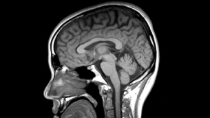
L’IRM le plus puissant du monde dévoile ses premières images

28 March 2024

Le phénomène #MeTooGarçons prend de l’ampleur

28 March 2024

Le musée d’Orsay célèbre les 150 ans de l’impressionnisme

Speed 1.0x
/
aa
AA

La France et l’Angleterre célèbrent les 120 ans de l’Entente cordiale

11 April 2024
La France et l’Angleterre célèbrent les 120 ans de l’Entente cordiale
Mikalai Kachanovich / Shutterstock

Catherine: La France et l’Angleterre amies et partenaires. Voilà quelque chose que l’on pensait impensable il n’y a pas si longtemps ! Pourtant, ce lundi 8 avril, les deux pays ont célébré les 120 ans des accords historiques conclus en 1904, connus sous le nom d’ « Entente cordiale ». Cette série d’accords a grandement apaisé les relations entre les deux puissances, en apportant particulièrement une réponse commune aux grands différends qui les opposaient sur leurs colonies. À partir de cette date, les deux puissances historiquement ennemies sont même devenues alliées, comme en témoigne leur alliance pendant la 1ère et la Seconde Guerre mondiale. À l'occasion de l’anniversaire des accords, la garde républicaine française s’est rendue à Londres pour défiler devant Buckingham Palace, tandis que la garde royale anglaise a défilé à Paris devant le Palais de l’Elysée.
Dominique: Voilà deux pays dont les relations ont connu plus de rebondissements qu’un feuilleton !
Catherine: C’est le moins qu’on puisse dire. Comme le souligne le site du ministère de la Défense, les accords de l’Entente cordiale ont marqué la fin de presque 1 000 ans de guerres intermittentes entre les deux puissances.

Continue the conversation

Go further and experience the full content — and understand how French is actually used.

Continue

Already have access? Log in.

Improve your French listening skills